BackStudy Guide: The Cardiovascular System – Blood Vessels (Chapter 19, Part A)
Study Guide - Smart Notes
Tailored notes based on your materials, expanded with key definitions, examples, and context.
The Cardiovascular System: Blood Vessels
Overview of Blood Vessels
The cardiovascular system consists of a network of blood vessels that transport blood throughout the body. These vessels work closely with the lymphatic system to maintain fluid balance and support cellular needs.
Arteries: Carry blood away from the heart; typically oxygenated except in pulmonary circulation and fetal umbilical vessels.
Capillaries: Smallest vessels, directly serve tissue cells and facilitate exchange of substances.
Veins: Carry blood toward the heart; typically deoxygenated except in pulmonary circulation and fetal umbilical vessels.

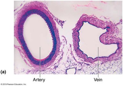
Structure of Blood Vessel Walls
All blood vessels (except capillaries) have three distinct layers, called tunics, surrounding a central lumen. Capillaries consist only of endothelium with a sparse basal lamina.
Tunica intima: Innermost layer; endothelium provides a smooth lining to reduce friction. In larger vessels, a subendothelial layer of connective tissue is present.
Tunica media: Middle layer; composed mainly of smooth muscle and elastin. Responsible for vasoconstriction (narrowing) and vasodilation (widening) of the vessel, which regulate blood flow and pressure.
Tunica externa (adventitia): Outermost layer; consists of loose collagen fibers, nerve fibers, and lymphatic vessels. Large veins may contain elastic fibers. The vasa vasorum nourishes the external layer in larger vessels.

Summary of Blood Vessel Anatomy
Blood vessels vary in diameter, wall thickness, and tissue composition depending on their type and function.
Vessel Type | Diameter & Wall Thickness | Relative Tissue Makeup |
|---|---|---|
Elastic artery | D: 1.5 cm, T: 1.0 mm | High elastin, moderate smooth muscle, moderate collagen |
Muscular artery | D: 6.0 mm, T: 1.0 mm | High smooth muscle, moderate elastin, moderate collagen |
Arteriole | D: 37.0 μm, T: 1.0 μm | Mostly smooth muscle, little elastin/collagen |

Vessel Type | Diameter & Wall Thickness | Relative Tissue Makeup |
|---|---|---|
Capillary | D: 9.0 μm, T: 0.5 μm | Endothelium only |
Venule | D: 20.0 μm, T: 1.0 μm | Endothelium, some collagen |
Vein | D: 5.0 mm, T: 0.5 mm | High collagen, moderate smooth muscle, moderate elastin |

Arteries
Types of Arteries
Arteries are classified based on size and function:
Elastic arteries: Large, thick-walled vessels (e.g., aorta) with abundant elastin. Act as pressure reservoirs, expanding and recoiling to maintain blood flow.
Muscular arteries: Medium-sized, deliver blood to organs. Have thick tunica media with more smooth muscle, less elastin. Active in vasoconstriction.
Arterioles: Smallest arteries, control blood flow into capillary beds via vasodilation and vasoconstriction. Called resistance arteries due to their role in regulating blood flow resistance.
Capillaries
Structure and Function
Capillaries are microscopic vessels with walls consisting only of thin tunica intima. Their primary function is the exchange of gases, nutrients, wastes, and hormones between blood and interstitial fluid.
Pericytes: Stem cells that stabilize capillary walls, control permeability, and aid in vessel repair.
Distribution: Found in almost all tissues except cartilage, epithelia, cornea, and lens.
Types of Capillaries
Capillaries are classified by their permeability and structure:
Continuous capillaries: Most common and least permeable; found in skin, muscles, lungs, and CNS. Endothelial cells joined by tight junctions, with intercellular clefts allowing passage of fluids and small solutes. In the brain, form the blood-brain barrier.

Fenestrated capillaries: Have pores (fenestrations) that increase permeability. Found in areas of active filtration (kidneys), absorption (intestines), or hormone secretion. Fenestrations are covered by a thin glycoprotein diaphragm.

Sinusoidal capillaries: Most permeable, with large lumens, fewer tight junctions, and incomplete basement membranes. Found in liver, bone marrow, spleen, and adrenal medulla. Allow passage of large molecules and cells; contain macrophages to capture foreign invaders.

Capillary Beds
Capillary beds are networks of capillaries between arterioles and venules, facilitating microcirculation. Blood flow is regulated by the diameter of terminal arterioles and local chemical conditions.
Terminal arteriole: Branches into capillaries (exchange vessels).
Postcapillary venule: Drains capillaries.

Special Features in Mesenteric Capillary Beds
Vascular shunt: Direct channel connecting arteriole to venule, bypassing true capillaries (metarteriole and thoroughfare channel).
Precapillary sphincter: Smooth muscle cuff regulating blood flow into capillaries; controlled by local chemical conditions.

Veins
Structure and Function
Veins carry blood toward the heart and are formed by the convergence of venules. They have thinner walls and larger lumens compared to arteries, making them effective blood reservoirs.
Venules: Formed by the union of capillaries; very porous, allowing fluids and white blood cells into tissues.
Veins: Have all three tunics, but thinner walls and larger lumens. The tunica externa is thick, containing collagen and elastic fibers.
Capacitance vessels: Veins contain up to 65% of blood supply, serving as reservoirs.

Adaptations for Venous Return
Venous valves: Prevent backflow of blood; most abundant in veins of limbs.
Venous sinuses: Flattened veins with thin walls, composed only of endothelium (e.g., coronary sinus, dural sinuses).
Blood Volume Distribution
Blood volume is unevenly distributed throughout the cardiovascular system, with veins containing the largest proportion.

Clinical – Homeostatic Imbalance: Varicose Veins
Varicose veins are dilated, painful veins caused by incompetent valves. Factors include heredity, prolonged standing, obesity, pregnancy, and elevated venous pressure (e.g., during childbirth or bowel movements, leading to hemorrhoids).
Anastomoses
Vascular Anastomoses
Anastomoses are interconnections between blood vessels, providing alternate pathways for blood flow.
Arterial anastomoses: Ensure continuous blood flow even if one artery is blocked; common in joints, abdominal organs, brain, and heart.
Arteriovenous anastomoses: Shunts in capillaries (e.g., metarteriole–thoroughfare channel).
Venous anastomoses: So abundant that occluded veins rarely block blood flow.
Key Terms and Concepts
Lumen: Central blood-containing space in a vessel.
Vasoconstriction: Decrease in vessel diameter, increasing resistance and blood pressure.
Vasodilation: Increase in vessel diameter, decreasing resistance and blood pressure.
Vasa vasorum: Small vessels that supply blood to the walls of larger vessels.
Important Equations
Blood Flow (F): Where is the pressure difference and is resistance.
Resistance (R): Where is blood viscosity, is vessel length, and is vessel radius.
Summary Table: Blood Vessel Types
Type | Structure | Function |
|---|---|---|
Elastic artery | Thick wall, large lumen, abundant elastin | Conduct blood, pressure reservoir |
Muscular artery | Thick tunica media, more smooth muscle | Distribute blood to organs |
Arteriole | Small diameter, mostly smooth muscle | Regulate blood flow to capillaries |
Capillary | Endothelium only | Exchange of substances |
Venule | Endothelium, some collagen | Collect blood from capillaries |
Vein | Thin wall, large lumen, valves | Return blood to heart, reservoir |

Additional info: The notes above expand on the original slides with definitions, examples, and equations for academic completeness.