BackCancer: Cellular and Molecular Mechanisms
Study Guide - Smart Notes
Tailored notes based on your materials, expanded with key definitions, examples, and context.
Cancer: Cellular and Molecular Mechanisms
Introduction to Cancer
Cancer is a group of diseases characterized by uncontrolled cell growth and the ability of these cells to invade other tissues. It is the second leading cause of death worldwide, affecting millions of people each year. Understanding the cellular and molecular basis of cancer is essential for developing effective prevention and treatment strategies.

Definition: Cancer arises when normal regulatory mechanisms of cell growth and division are disrupted, leading to the formation of tumors.
Types: Tumors can be benign (non-invasive) or malignant (invasive and capable of metastasis).
Prevalence: Cancer incidence and mortality rates vary by tissue type and are influenced by genetic, environmental, and lifestyle factors.

Benign vs. Malignant Tumors
Tumors are classified based on their growth characteristics and potential to invade surrounding tissues.
Benign Tumors: Localized growths that do not invade adjacent tissues or metastasize.
Malignant Tumors: Exhibit uncontrolled growth, invade nearby tissues, and can spread (metastasize) to distant organs.

Tumor Growth and Detection
The progression of a tumor from a single mutated cell to a clinically detectable mass involves multiple cell divisions and population doublings.
Growth Curve: Tumors become detectable by imaging or palpation only after reaching a critical size, often after many population doublings.
Risk and Age: The risk of developing cancer increases with age due to the accumulation of genetic mutations over time.

Genetic Changes in Cancer: Chromosomal Translocations
Genetic alterations, such as chromosomal translocations, can drive the development of certain cancers. For example, the Philadelphia chromosome is a result of a reciprocal translocation between chromosomes 9 and 22, commonly seen in chronic myelogenous leukemia (CML).
Chromosomal Translocation: The exchange of genetic material between non-homologous chromosomes, leading to the formation of fusion genes with oncogenic potential.
Example: The BCR-ABL fusion gene on the Philadelphia chromosome produces a constitutively active tyrosine kinase that promotes uncontrolled cell division.

Environmental Factors and Cancer Risk
Environmental exposures, such as tobacco smoke, significantly increase the risk of developing cancer. Epidemiological data show a strong correlation between cigarette consumption and cancer-related deaths.
Carcinogens: Substances that cause mutations leading to cancer (e.g., chemicals in tobacco smoke).
Prevention: Reducing exposure to known carcinogens can lower cancer incidence and mortality.

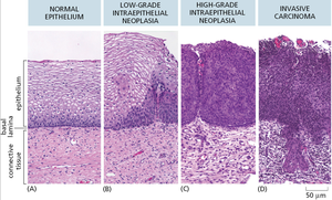
Progression of Cervical Cancer
Cervical cancer develops through a series of histological changes, from normal epithelium to invasive carcinoma. This progression is marked by increasing cellular atypia and loss of normal tissue architecture.
Stages: Normal epithelium → Low-grade intraepithelial neoplasia → High-grade intraepithelial neoplasia → Invasive carcinoma.
Screening: Early detection through screening (e.g., Pap smear) can identify precancerous changes and prevent progression.

Clonal Evolution in Tumors
Tumors arise from a single mutated cell that undergoes clonal expansion. Additional mutations accumulate over time, leading to increased heterogeneity and malignancy.
Clonal Evolution: Successive rounds of mutation and selection result in subclones with distinct genetic profiles and behaviors.
Implication: Tumor heterogeneity complicates treatment and contributes to drug resistance.

Genomic Instability and Aneuploidy
Genomic instability, including aneuploidy (abnormal chromosome number), is a hallmark of cancer. It results from defects in chromosome segregation during mitosis.
Aneuploidy: The presence of an abnormal number of chromosomes in a cell, often observed in cancer cells.
Mechanisms: Errors in mitosis, such as lagging chromosomes, can lead to the formation of micronuclei and chromothripsis (chromosome shattering).

Cancer Risk and Cell Proliferation
The risk of cancer is higher in tissues with high rates of stem cell division. This is because more cell divisions increase the likelihood of acquiring mutations that can drive tumorigenesis.
Highly Proliferative Tissues: Examples include the skin, colon, and bone marrow.
Correlation: There is a positive correlation between the number of stem cell divisions and lifetime cancer risk for a given tissue.

Summary Table: Key Differences Between Benign and Malignant Tumors
Feature | Benign Tumor | Malignant Tumor |
|---|---|---|
Growth Rate | Slow | Rapid |
Invasiveness | Non-invasive | Invasive |
Metastasis | Absent | Present |
Cell Differentiation | Well-differentiated | Poorly differentiated |
Additional info: These notes provide a foundational overview of cancer biology, focusing on cellular and genetic mechanisms, risk factors, and the distinction between benign and malignant tumors. Further study should include molecular pathways, oncogenes, tumor suppressor genes, and therapeutic strategies.