BackLymphatic and Immune Systems: Structure, Function, and Clinical Relevance
Study Guide - Smart Notes
Tailored notes based on your materials, expanded with key definitions, examples, and context.
Lymphatic System: Structure and Function
Overview of the Lymphatic System
The lymphatic system is a vital component of human anatomy and physiology, responsible for fluid balance, immune defense, and dietary fat absorption. It consists of lymphatic vessels, lymphoid tissues, and organs that work together to maintain homeostasis and protect the body from pathogens.
Fluid Recovery: Returns excess interstitial fluid to the bloodstream, preventing tissue swelling.
Immune Surveillance: Provides sites for leukocyte maturation and filtration of pathogens.
Dietary Fat Absorption: Specialized lymphatic vessels (lacteals) absorb lipids from the digestive tract.

Lymphatic Vessels and Lymph Flow
Lymphatic vessels transport lymph, a clear fluid similar to plasma but low in protein, from tissues back to the circulatory system. The flow of lymph is governed by mechanisms similar to venous return, but without a central pump.
Lymph Formation: Lymph originates as interstitial fluid taken up by lymphatic capillaries.
Pathway: Lymphatic capillaries → collecting vessels → lymphatic trunks → collecting ducts → subclavian veins.
Flow Mechanisms: Rhythmic vessel contractions, skeletal muscle movement, arterial pulsations, thoracic (respiratory) pump, and rapid blood flow in subclavian veins.

Lymphatic Trunks and Ducts
Lymphatic trunks converge to form two main collecting ducts:
Right Lymphatic Duct: Drains lymph from the right arm, right side of head and thorax; empties into the right subclavian vein.
Thoracic Duct: Larger and longer; drains lymph from below the diaphragm, left arm, left side of head, neck, and thorax; empties into the left subclavian vein.

Lymphoid Cells and Tissues
Lymphoid Cells
The lymphatic system contains several types of immune cells, each with specialized functions:
Neutrophils: Phagocytic cells that destroy bacteria.
Natural Killer (NK) Cells: Attack and destroy infected or cancerous cells.
T Lymphocytes (T cells): Mediate cellular immunity.
B Lymphocytes (B cells): Mediate humoral immunity.
Macrophages: Phagocytose pathogens and present antigens.
Dendritic Cells: Antigen-presenting cells (APCs) that initiate immune responses.

Lymphoid Tissue
Lymphoid tissue consists of aggregations of lymphocytes in connective tissues and mucous membranes, especially in areas exposed to external environments.
Mucosa-Associated Lymphoid Tissue (MALT): Found in respiratory, digestive, urinary, and reproductive tracts.
Reticular Fibers: Provide structural support for lymphocytes and other immune cells.

Lymphoid Organs
Primary and Secondary Lymphoid Organs
Lymphoid organs are classified as primary (sites of lymphocyte development) and secondary (sites of immune response).
Red Bone Marrow: Site of hematopoiesis and B cell maturation.
Thymus: Site of T cell maturation.
Lymph Nodes: Filter lymph and house immune cells.
Spleen: Filters blood, removes old red blood cells, and stores monocytes.
Tonsils: Protect against pathogens entering via the pharynx.
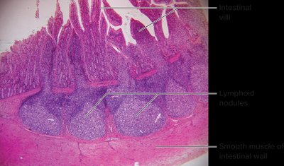
MALT: Aggregates of lymphoid tissue in mucous membranes.

Lymph Nodes
Lymph nodes are small, bean-shaped structures that filter lymph and are concentrated in specific regions.
Locations: Cervical, axillary, thoracic, abdominal, intestinal, mesenteric, inguinal, popliteal.
Functions: Filtration of pathogens, activation of immune cells.

Lymphatic and Immune System Disorders
Lymphadenitis, Lymphadenopathy, and Metastasis
Lymphadenitis: Inflammation of lymph nodes, often due to infection.
Lymphadenopathy: Disease of lymph nodes, typically characterized by abnormal size or consistency.
Metastasis: Cancer cells can spread via lymphatics, lodging in lymph nodes and forming secondary tumors.
Immune System: Innate and Adaptive Immunity
Three Lines of Defense
The immune system protects the body through three lines of defense:
First Line (Innate): Surface barriers such as skin and mucous membranes.
Second Line (Innate): Cellular and protein responses, including phagocytosis and inflammation.
Third Line (Adaptive): Specific responses by lymphocytes (T and B cells), including cell-mediated and antibody-mediated immunity.
Innate Immunity
Mechanical Mechanisms: Prevent entry or remove microbes (e.g., skin, mucus, tears).
Chemical Mediators: Promote phagocytosis and inflammation (e.g., lysozyme, complement proteins).
Cells: Neutrophils, eosinophils, basophils, lymphocytes, monocytes/macrophages.
Adaptive Immunity
Specificity: Ability to recognize particular substances (antigens).
Memory: Ability to remember previous encounters and respond rapidly.
Innate Immunity: Internal Defenses
Phagocytic and Nonphagocytic Cells
Phagocytes: Neutrophils and macrophages engulf and destroy pathogens.
Natural Killer Cells: Destroy infected or cancerous cells by releasing perforins and granzymes.

Antimicrobial Proteins
Interferons: Proteins secreted by virally infected cells, alerting nearby cells and activating immune cells.
Complement System: Group of proteins that enhance inflammation, immune clearance, phagocytosis, and cytolysis.
Inflammatory Response
Local Effects: Redness, heat, swelling, pain, loss of function.
Systemic Effects: Increased neutrophil numbers, fever, shock.
Stages: Vasodilation, increased permeability, leukocyte recruitment, phagocytosis, tissue repair.
Fever
Pyrexia: Elevated body temperature due to infection.
Benefits: Inhibits bacterial growth, stimulates phagocytosis, speeds tissue repair.
Risks: Dehydration, loss of nutrients, potential for seizures in children.
Adaptive Immunity: Cell-Mediated and Antibody-Mediated
Cell-Mediated Immunity (T Cells)
Antigen Recognition: T cells recognize antigens presented by APCs via MHC proteins.
Types of T Cells: Cytotoxic (TC), Helper (TH), Regulatory (TR), Memory (TM).
Attack: TC cells directly destroy infected or cancerous cells; TH cells coordinate immune responses.
Memory: TM cells provide rapid response upon re-exposure to the same antigen.
Antibody-Mediated Immunity (B Cells)
B Cell Activation: Antigen binds to B cell receptors, leading to clonal selection and differentiation into plasma cells.
Antibodies: Immunoglobulins (IgM, IgG, IgA, IgE, IgD) neutralize pathogens, activate complement, agglutinate cells, and precipitate antigens.
Memory: Memory B cells provide rapid antibody production upon re-exposure.
Types of Acquired Immunity
Active Immunity: Natural (infection) or artificial (vaccination); produces memory cells.
Passive Immunity: Natural (maternal antibodies) or artificial (injected antibodies); temporary protection.
Vaccination and Immunotherapy
Vaccination Methods
Similar Pathogen: Uses a related, less harmful pathogen (e.g., cowpox for smallpox).
Attenuated Pathogen: Modified pathogen that can replicate but is less virulent.
Killed Pathogen: Inactivated by heat or radiation.
Toxoid: Uses toxins produced by pathogens.
Subunit: Uses specific antigens from the pathogen.
Naked DNA/mRNA: Uses genetic material to produce antigens in the body.
Immunotherapy
Direct Attack: Targeting harmful cells (e.g., cancer therapy).
Modulation: Boosting or inhibiting immune responses (e.g., interferon therapy).
Immune Response to Infection and Disease
Immune Response to Pathogens
Innate Immunity: Rapid, non-specific defense.
Adaptive Immunity: Specific, long-lasting defense with memory.
Immune Response to Cancer
Cytotoxic T Cells: Destroy cancer cells.
Immunotherapy: Enhances immune response against tumors.
Immune Evasion by Pathogens
Mechanisms: Antigenic variation, inhibition of immune signaling, hiding within host cells.
Disorders of the Immune System
Hypersensitivity Disorders
Type I (Acute): IgE-mediated allergies (e.g., asthma, anaphylaxis).
Type II: Antibody-dependent cytotoxic reactions (e.g., blood transfusion reactions).
Type III: Immune complex-mediated (e.g., lupus).
Type IV: Delayed, cell-mediated (e.g., transplant rejection, poison ivy).
Autoimmune Diseases
Cross-reactivity: Foreign antigens similar to self-antigens.
Abnormal Exposure: Self-antigens exposed to immune system.
Structural Changes: Viruses or drugs alter self-antigens.
Immunodeficiency Diseases
Inherited: Scarcity or absence of T and B cells.
Acquired (AIDS): HIV targets helper T cells, crippling immune response.
HIV and AIDS
Transmission: Body fluids, including blood, semen, vaginal secretions, breast milk, placenta.
Mechanism: HIV invades helper T cells, macrophages, dendritic cells; uses reverse transcriptase to integrate into host DNA.
Effects: Immunodeficiency, susceptibility to opportunistic infections, cancers (e.g., Kaposi sarcoma).
Summary Table: Lymphatic vs. Blood Vessels
Feature | Lymphatic Vessels | Blood Vessels |
|---|---|---|
Fluid Transported | Lymph (clear, low protein) | Blood (plasma, cells) |
Direction of Flow | One-way (toward heart) | Bidirectional (arteries away, veins toward heart) |
Valves | Numerous, prevent backflow | Present in veins, absent in arteries |
Pressure | Low | Higher in arteries, lower in veins |
Function | Fluid recovery, immune defense, fat absorption | Transport gases, nutrients, wastes |
Summary Table: Innate vs. Adaptive Immunity
Feature | Innate Immunity | Adaptive Immunity |
|---|---|---|
Specificity | Non-specific | Specific to antigens |
Memory | None | Present |
Cells Involved | Phagocytes, NK cells | T and B lymphocytes |
Response Time | Immediate | Delayed (days) |
Examples | Skin, inflammation, fever | Antibody production, cytotoxic T cell response |