BackAnimal Parasites: Protozoa and Helminths – Microbiology Study Notes
Study Guide - Smart Notes
Tailored notes based on your materials, expanded with key definitions, examples, and context.
Overview of Animal Parasites
This unit covers two major groups of animal parasites relevant to microbiology: Protozoa and Helminths. These organisms are significant causes of human disease worldwide and are studied in detail for their biology, transmission, and clinical importance.
I. Protozoa
A. General Information
Characteristics: Protozoa are unicellular, eukaryotic organisms classified in the Kingdom Protista. They inhabit water and soil, and their vegetative stage is called the trophozoite. Some are part of the normal flora of animals, but about 30 genera are of medical importance.
Reproduction: Most reproduce asexually by schizogony (multiple fission), though some exhibit sexual reproduction.
Encystment: Under adverse conditions, protozoa can form a protective cyst, allowing survival outside the host and facilitating transmission to new hosts.
Nutrition: Protozoa are mainly aerobic chemoheterotrophs, requiring water for survival.
B. Classification of Protozoa
Protozoa are classified by DNA analysis or their method of movement:
Sarcodina (Amoeboids): Move by pseudopods (false feet). Example: Amoeba.
Mastigophora (Flagellates): Move by flagella. Example: Euglena.
Ciliata (Ciliates): Move by cilia. Example: Paramecium.
Apicomplexa (Sporozoa): Non-motile, obligate intracellular parasites.

C. Arthropod Vectors
Arthropods are the largest phylum in the animal kingdom and can act as vectors for protozoan diseases. Vectors may transmit pathogens mechanically (on their body surface) or biologically (pathogen multiplies within the vector).

D. Laboratory Diagnosis and Treatment
Direct diagnosis: Microscopic examination of stool (O&P: ova and parasite exam).
Indirect diagnosis: Eosinophilia, increased IgE, and serology (antibody detection).
Anti-protozoal antibiotics: Inhibit DNA synthesis or damage DNA (e.g., metronidazole).

II. Medically Important Protozoa
1. Sarcodina (Amoeboids)
a. Amoebic Dysentery: Entamoeba histolytica
Only pathogenic human intestinal amoeba; feeds on red blood cells and intestinal tissue.
Resistant cysts survive stomach acid; transmission is fecal-oral via contaminated food/water.
Symptoms: 90% mild GI disturbances, 10% severe dysentery.
Diagnosis: Stool exam or serology for antibodies.
Treatment: Metronidazole or iodoquinol.

b. Naegleria Microencephalitis ("Brain-eating Amoeba")
Organism: Naegleria species; found in warm freshwater.
Infection via nasal mucosa; rapidly fatal meningoencephalitis.

2. Mastigophora (Flagellates)
a. Giardiasis: Giardia lamblia
Found in small intestines of mammals; interferes with nutrient absorption.
Transmission: Fecal-oral, waterborne, resistant to chlorine.
Symptoms: Prolonged diarrhea, nausea, weakness, H2S odor in breath/stools.
Diagnosis: Stool O&P (multiple samples).
Treatment: Metronidazole.

b. Trichomoniasis: Trichomonas vaginalis
Normal flora in male urethra and vagina; transmitted sexually.
No cyst stage; overgrowth if vaginal pH > 5.
Symptoms: Females—vaginitis, discharge, itching; males—usually asymptomatic.
Diagnosis: Microscopic exam of discharge or urine.
Treatment: Metronidazole.

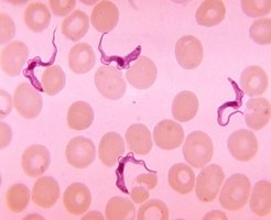
c. Trypanosomiasis: Trypanosoma species
Hemoflagellates transmitted by biological arthropod vectors.
African Trypanosomiasis (Sleeping Sickness): Central/East Africa; vector is the tsetse fly. Symptoms include CNS involvement, sleep disturbances, coma, and death if untreated.
American Trypanosomiasis (Chagas Disease): Central/South America; vector is the reduviid (kissing) bug. Cardiovascular involvement, chronic complications.

3. Ciliata (Ciliates)
a. Balantidiasis: Balantidium coli
Only pathogenic ciliate in humans; transmitted fecal-orally.
Causes severe dysentery.
Treatment: Metronidazole or tetracycline.

4. Apicomplexa (Sporozoa)
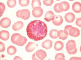
a. Malaria: Plasmodium species
Leading cause of morbidity and mortality worldwide; transmitted by female Anopheles mosquitoes.
Symptoms: Cyclic fever/chills, anemia, jaundice, organ enlargement.
Diagnosis: Blood smear for ring stage in RBCs.
Treatment: Quinine derivatives; chemoprophylaxis; new vaccines available.

b. Toxoplasmosis: Toxoplasma gondii
Disease of blood and lymphatic system; cats are the main reservoir.
Transmission: Ingestion/inhalation of oocysts from cat feces or undercooked meat.
Congenital infection can cause fetal damage or stillbirth.
Diagnosis: Serology (antibody test).
Treatment: Pyrimethamine with sulfur (not for pregnant women).

c. Pneumocystis Pneumonia (PCP): Pneumocystis jiroveci
Has characteristics of both fungi and protozoa; major cause of pneumonia in immunocompromised patients (AIDS-related).
Transmission: Inhalation or activation of latent lung cysts.
Diagnosis: Microscopic exam of lung aspirate or sputum.
Treatment: Pentamidine or trimethoprim-sulfamethoxazole.

II. Helminths (Parasitic Worms)
A. General Information
Kingdom: Animalia; multicellular eukaryotes.
Parasitic helminths have reduced digestive and nervous systems, lack locomotion, and have complex reproductive systems.
Transmission: Ingestion, skin penetration, or via arthropod vectors.
Reproduction: Dioecious (separate sexes) or monoecious/hermaphroditic (both sexes in one worm).
Diagnosis: Direct (O&P for stools) and indirect tests.
Anti-helminthic antibiotics: Prevent ATP synthesis or paralyze the worm.

B. Types of Parasitic Helminths
1. Platyhelminths (Flatworms)
Trematodes (Flukes): Flat, leaf-shaped; oral sucker; live in various tissues. Example: Schistosoma (schistosomiasis).
Cestodes (Tapeworms): Segmented intestinal parasites; head is called scolex. Examples: Taenia saginata (beef), Taenia solium (pork), Echinococcus granulosus (sheep).
2. Nematodes (Roundworms)
Cylindrical, tapered at both ends; mostly dioecious; complete digestive system.
Examples: Enterobius vermicularis (pinworm), Ascaris lumbricoides (ascariasis), Necator americanus (hookworm), Trichinella spiralis (trichinosis), Wucheria bancrofti (elephantiasis).
C. Selected Helminth Diseases
Schistosomiasis (Schistosoma): Skin penetration; tissue damage, abscesses, liver/lung/bladder damage. Diagnosis: O&P in stool/urine. Treatment: Praziquantel.
Taenia saginata (Beef tapeworm): Ingestion of undercooked beef; mild symptoms. Diagnosis: Stool O&P. Treatment: Niclosamide.
Enterobius vermicularis (Pinworm): Most common in U.S.; perianal itching. Diagnosis: Scotch tape method. Treatment: Mebendazole.
Necator americanus (Hookworm): Skin penetration; anemia, fatigue. Treatment: Mebendazole; prevention by wearing shoes.
Ascaris lumbricoides (Ascariasis): Fecal-oral; intestinal obstruction. Treatment: Mebendazole or piperazine.
Trichinella spiralis (Trichinosis): Ingestion of undercooked pork; fever, muscle pain. Treatment: Mebendazole.
Wucheria bancrofti (Elephantiasis): Mosquito vector; lymphatic obstruction, lymphedema. Treatment: Diethylcarbamazine, ivermectin, mosquito control.
Additional info: For all helminthic infections, improved sanitation, proper cooking of food, and vector control are essential preventive measures.