BackDNA Structure and the Evidence for DNA as Genetic Material
Study Guide - Smart Notes
Tailored notes based on your materials, expanded with key definitions, examples, and context.
DNA Structure and the Evidence for DNA as Genetic Material
Characteristics of Genetic Material
Genetic material must fulfill several essential criteria to serve its biological role in heredity and cellular function:
Replication: The molecule must be capable of accurate self-replication, ensuring genetic continuity across generations.
Storage of Information: It must encode the information necessary for the structure, function, and regulation of an organism's cells and development.
Transmission: The genetic material must be reliably transmitted to progeny during cell division (mitosis and meiosis).
Expression: The information must be accessible for expression, typically through transcription and translation.
Variation: The molecule must allow for mutation, providing the raw material for evolution.
Historical Perspective: Protein vs. DNA as Genetic Material
Until the 1940s, proteins were favored as the genetic material due to their chemical diversity and abundance. Proteins are composed of 20 different amino acids, whereas DNA is made from only four nucleotides, leading to the assumption that DNA lacked sufficient complexity to store genetic information. Early hypotheses, such as Levene's tetranucleotide hypothesis, incorrectly suggested DNA was a simple, repetitive molecule.
Experimental Evidence for DNA as Genetic Material
Griffith's Transformation Experiment (1927)
Frederick Griffith demonstrated that a 'transforming principle' from heat-killed virulent Streptococcus pneumoniae could convert avirulent bacteria into a virulent form, indicating the transfer of genetic information.
Virulent (S) strain: Has a polysaccharide capsule, forms smooth colonies, causes pneumonia.
Avirulent (R) strain: Lacks capsule, forms rough colonies, does not cause disease.
Mixing heat-killed S strain with live R strain resulted in the death of mice and recovery of live S strain bacteria, indicating transformation.

Avery, MacLeod, and McCarty Experiment (1944)
This experiment identified DNA as the 'transforming principle' by systematically removing proteins, RNA, and DNA from bacterial extracts and testing for transformation. Only extracts with intact DNA could transform R strain bacteria into S strain, providing direct evidence that DNA is the hereditary material.

Hershey-Chase Experiment (1952)
Using bacteriophage T2 and radioisotopes (32P for DNA, 35S for protein), Hershey and Chase showed that only DNA enters bacterial cells and directs viral reproduction, while the protein coat remains outside. This confirmed DNA as the genetic material in viruses.

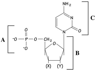
Chemical Structure of DNA
DNA is a polymer of nucleotides, each consisting of:
Nitrogenous base: Purines (adenine, guanine) and pyrimidines (cytosine, thymine)
Pentose sugar: Deoxyribose in DNA, ribose in RNA
Phosphate group
Nucleotides are linked by phosphodiester bonds between the 3' and 5' carbons of adjacent sugars, forming a sugar-phosphate backbone.

Base Composition and Chargaff's Rules
Erwin Chargaff's analysis of DNA from various organisms revealed:
The amount of adenine (A) equals thymine (T), and guanine (G) equals cytosine (C): A = T, G = C
The total amount of purines (A + G) equals the total amount of pyrimidines (C + T)
The ratio of (G+C) to (A+T) varies between species
Organism | A (%) | T (%) | G (%) | C (%) |
|---|---|---|---|---|
Human | 30.9 | 29.4 | 19.9 | 19.8 |
Sea urchin | 32.8 | 32.1 | 17.7 | 17.3 |
E. coli | 24.7 | 23.6 | 26.0 | 25.7 |
T2 bacteriophage | 33.2 | 33.8 | 16.8 | 16.2 |

DNA Double Helix Structure
Watson and Crick (1953) proposed the double helix model of DNA, based on Chargaff's rules and Rosalind Franklin's X-ray diffraction data:
Two antiparallel polynucleotide chains coiled around a central axis
Right-handed helix (B-DNA) with 10 base pairs per turn (34 Å per turn, 20 Å diameter)
Complementary base pairing: A-T (2 hydrogen bonds), G-C (3 hydrogen bonds)
Major and minor grooves alternate along the helix

Stability and Specificity of the Double Helix
Hydrogen bonds between complementary bases provide specificity and stability.
Hydrophobic interactions between stacked bases in the interior further stabilize the helix.
Sugar-phosphate backbone is hydrophilic and faces outward.
Alternative Forms of DNA
DNA can exist in several structural forms depending on environmental conditions:
B-DNA: Most common, right-handed, 10 base pairs per turn, found under physiological conditions.
A-DNA: Right-handed, more compact, 9 base pairs per turn, forms under high-salt or dehydrating conditions.
Z-DNA: Left-handed helix, found in synthetic DNA with alternating purine-pyrimidine sequences (e.g., G-C repeats).
Central Dogma of Molecular Genetics
The central dogma describes the flow of genetic information:
DNA is transcribed into RNA (mRNA, rRNA, tRNA).
mRNA is translated by ribosomes into protein.

Summary
Experiments by Griffith, Avery-MacLeod-McCarty, and Hershey-Chase established DNA as the genetic material.
DNA's structure enables it to store, replicate, and transmit genetic information, and to undergo mutation.
The double helix model explains the molecular basis for heredity and gene expression.