BackFertilization, Cytoplasmic Inheritance, and Prenatal Genetic Testing
Study Guide - Smart Notes
Tailored notes based on your materials, expanded with key definitions, examples, and context.
Fertilization and Prenatal Genetic Testing
Prenatal Testing
Prenatal testing refers to procedures used to detect genetic disorders in a fetus before birth. These tests are especially recommended for women over the age of 35 due to increased risk of chromosomal abnormalities.
Chorionic Villus Sampling (CVS): A procedure in which cells are removed from the chorion (the outer membrane surrounding the embryo) as early as 8 weeks into pregnancy. This allows for early genetic analysis.
Amniocentesis: Performed between 15-20 weeks of pregnancy, this test involves obtaining cells from the amniotic fluid surrounding the fetus. These cells are then analyzed for genetic abnormalities.
Maternal Blood Tests: Blood tests from the mother can be used to measure hormone levels, which may indicate certain medical conditions in the fetus.


Example: CVS can detect chromosomal disorders such as Down syndrome earlier than amniocentesis, allowing for earlier decision-making.
Problems with Fertilization and Assisted Reproductive Technologies (ARTs)
Infertility and Its Causes
Infertility, defined as the inability to conceive a child, affects about 10% of couples. It is more common than chromosomal abnormalities and can result from various factors:
Poor sperm or egg quality
Reduced sperm or egg production
Blockages in the fallopian tubes or vas deferens
Assisted Reproductive Technologies (ARTs)
ARTs are medical procedures used to enhance reproductive success. They may involve the use of fertility drugs, manipulation of gametes or embryos outside the body, and various techniques to increase the chances of fertilization and implantation.
In Vitro Fertilization (IVF): Hormone therapy stimulates egg production, eggs are harvested and fertilized with sperm in a laboratory, and resulting embryos are transferred to the uterus.
Artificial Insemination (AI): Sperm is placed directly into the female reproductive tract to facilitate fertilization.
Implications: ARTs provide insights into reproductive disorders and offer new treatments, but they also raise ethical and social concerns regarding intervention in natural processes.
Non-Human Applications of Reproductive Technology
Reproductive technologies are also used in animal breeding and wildlife conservation. Artificial insemination can enhance genetic diversity, reduce costs, and enable reproduction in animals that do not breed well in captivity.
Advantages: Long-term storage of semen, cost savings, and increased genetic diversity.
Disadvantages: High costs of gene banks and cloning, and potential neglect of efforts to preserve species in the wild.
Cytoplasmic Inheritance
Origin of Mitochondria and Chloroplasts
Mitochondria and chloroplasts are believed to have originated as independent prokaryotes that became endosymbionts within ancestral eukaryotic cells. This theory explains the presence of their own DNA and the maternal inheritance patterns observed in many species.

Key Terms:
Maternal Inheritance: Cytoplasmic DNA (such as mitochondrial DNA) is inherited exclusively from the female gamete (egg cell).
Paternal Inheritance: In rare cases, cytoplasmic DNA is inherited from the male gamete (sperm cell).
Example: In humans, all mitochondria in the zygote are derived from the egg cell, resulting in maternal inheritance of mitochondrial DNA.
Cytoplasmic Inheritance and Genetic Variation
Although mitochondria and chloroplasts are usually inherited from the mother, their distribution during cell division can lead to genetic variation among daughter cells. In plants, random assortment of chloroplasts can result in variegated leaves with different colors due to the presence or absence of functional chloroplast DNA.

Example: Some plant leaves display variegation (patches of different colors) because daughter cells inherit different combinations of normal and defective chloroplasts.
Human Genetic Disorders Associated with Mitochondrial DNA
Mitochondrial Disorders
Mutations in mitochondrial DNA can cause a variety of rare genetic disorders, often affecting tissues and organs with high energy demands. These disorders are typically inherited maternally and can impact multiple systems in the body.
Symptoms may include muscle weakness (myopathy), neurological problems (encephalopathy), heart disease (cardiomyopathy), diabetes, deafness, and more.

Example: Mitochondrial encephalopathy, lactic acidosis, and stroke-like episodes (MELAS) is a disorder caused by mutations in mitochondrial DNA.
DNA Egg Swapping
To prevent the transmission of mitochondrial diseases, a technique called "DNA egg swapping" can be used. The nucleus from an egg cell at risk of passing on a mitochondrial disorder is transferred into a donor egg with healthy mitochondria. The resulting embryo contains nuclear DNA from the mother and mitochondrial DNA from the donor.
Horizontal Gene Transfer
Definition and Example
Horizontal gene transfer is the movement of genetic material between different species, rather than from parent to offspring. This process can result in organisms acquiring new traits from unrelated species.
Example: The green sea slug (Elysia chlorotica) acquires genes from algae, allowing it to perform photosynthesis like a plant.
Application: Horizontal gene transfer is a significant mechanism in evolution and can lead to the emergence of novel traits in organisms.
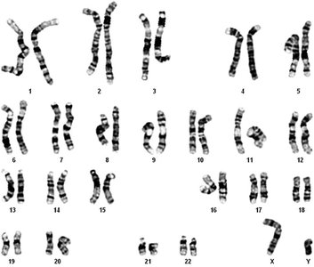
Karyotype Analysis
Interpreting Karyotypes
A karyotype is an organized profile of an individual's chromosomes, used to diagnose chromosomal abnormalities. Chromosomes are arranged in pairs and analyzed for structural or numerical changes.

Example: Karyotype analysis can detect conditions such as Down syndrome (trisomy 21), Turner syndrome (monosomy X), and other chromosomal disorders.
Summary Table: Comparison of IVF and AI
Feature | In Vitro Fertilization (IVF) | Artificial Insemination (AI) |
|---|---|---|
Procedure | Eggs fertilized with sperm outside the body; embryos transferred to uterus | Sperm placed directly into female reproductive tract |
Complexity | More complex, involves hormone therapy and laboratory fertilization | Less complex, performed in clinical setting |
Applications | Used for severe infertility, blocked fallopian tubes, or failed AI | Used for mild male infertility or unexplained infertility |